Millán + Martínez Oftalmología

¿Qué es la retinosis pigmentaria y cómo se trata?

Publicado: 22 de marzo de 2022, 12:26
  1. Noticias
¿Qué es la retinosis pigmentaria y cómo se trata?

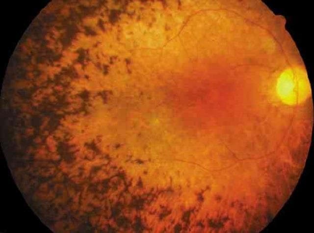
La retinitis pigmentosa, también conocida como retinosis pigmentaria, es una patología ocular que genera un daño en la retina, que se ve incapacitada para responder a la luz. Se produce una pérdida paulatina de los fotorreceptores e incluso de otras células de la retina.

Este problema de la vista es hereditario y genera una pérdida progresiva de la visión, que comienza por un empeoramiento de la percepción visual por la noche y la pérdida de la visión periférica.

Como especialistas en el campo de la oftalmología, desde Millán + Martínez Oftalmología Médico-Quirúrgica ofrecemos más información sobre esta afección, sobre sus síntomas, causas y posible tratamiento.

Causas de la retinosis pigmentaria

Como ya hemos dicho anteriormente, la retinosis pigmentaria es una patología hereditaria. Hasta en un 50% de los casos se presentan antecedentes familiares. Sin embargo, esta pérdida gradual de la capacidad visual no se presenta de la misma forma en todas las personas, puesto que cada caso puede presentar diferentes características y grados de gravedad. Por ello, es sumamente importante una valoración personalizada y exhaustiva de cada situación, algo que ya llevan a cabo nuestros oftalmólogos en Pontevedra, para atender a las diferentes necesidades que muestre cada paciente.

Por otro lado, la otra mitad de los casos de esta enfermedad se presentan sin tener en cuenta el factor genético, es decir, que la retinosis pigmentaria se debe a una nueva mutación.

¿Cuáles son sus síntomas?

Habitualmente, los síntomas de este problema visual aparecen en la infancia, pero los de mayor gravedad no se manifiestan hasta la edad adulta. Su desarrollo es lento y progresivo, por lo que puede llegar a tardarse incluso 15 años antes de percibir la falta de visión nocturna, uno de los principales síntomas.

Esta ceguera nocturna se puede manifestar de dos formas: por un lado, se refiere a los problemas para ver de forma clara en ambientes poco iluminados y, por otra parte, se relaciona con el problema de visión que provoca pasar de un ambiente iluminado a otro de baja iluminación, superando el tiempo de adaptación habitual y considerado normal.

Otro de los síntomas más comunes y que acostumbra aparecer tras el anterior, es la reducción del campo visual. En este caso, la persona percibe una pérdida de visión desde la zona periférica a la central del ojo. Esto provoca problemas para localizar y situar objetos próximos.

Tratamiento para retinosis pigmentaria

En Millán + Martínez Oftalmología Médico-Quirúrgica indicamos el tratamiento de retinosis pigmentaria con Luxturna, un tratamiento innovador mediante terapia genética, que hace posible tratar tanto adultos como a niños que presentan una pérdida de visión.

Esta clase de tratamiento puede emplearse mientras que la persona cuenta con suficientes células retinianas funcionales, además de otras factores. Para valorar tu caso y viabilidad, no dudes en ponerte en manos de los expertos de nuestra clínica oftalmológica en Pontevedra.

Nuestro objetivo: conocerte, escucharte, darte la mejor solución.

Pide cita

 

Noticias relacionadas

Postoperatorio de cirugía ocular: ¿qué debes saber? 1 jul

Postoperatorio de cirugía ocular: ¿qué debes saber?

01/07/2022 Noticias
Una vez te has sometido a una cirugía refractiva, gracias a los últimos avances en el campo de la oftalmología, es posible que hagas vida prácticamente normal desde el primer día. No obstante, hay una serie de recomendaciones a tener en cuenta y que, como profesionales en esta área, desde Millán +
¿Cómo prepararse para una cirugía ocular? 17 jun

¿Cómo prepararse para una cirugía ocular?

17/06/2022 Noticias
A día de hoy, la evolución de la cirugía ocular hace posible que podamos ofrecerle a nuestros pacientes excelentes resultados y la alta seguridad de recuperar su calidad de vida y salud visual al ponerse en nuestras manos, sin tener que preocuparse prácticamente por ninguna molestia pre y
¿Qué es la baja visión? 10 jun

¿Qué es la baja visión?

10/06/2022 Noticias
Existen múltiples enfermedades oculares que producen baja visión, es decir, una deficiencia visual. Independientemente de su origen (edad o alteraciones patológicas) se presenta como una limitación de las facultades del individuo y, por consiguiente, un condicionante para la calidad de vida. Como
¿Cuándo operarse de cataratas? 13 may

¿Cuándo operarse de cataratas?

13/05/2022 Noticias
Las cataratas son un tipo de problema ocular que condiciona la calidad de vida de muchas personas en nuestro país y en todo el mundo. Se trata de la opacidad del cristalino, algo inevitable en su envejecimiento progresivo. Existen algunos síntomas que nos pueden advertir de la presencia de este